website traffic statistics

scanner thoraco abdominal

figure 8 from etude des mecanismes d action de nouvelles molecules utilisees seules ou en association avec les radiations ionisantes dans les cancers pediatriques semantic scholar

figure 8 from etude des mecanismes d action de nouvelles molecules utilisees seules ou en association avec les radiations ionisantes dans les cancers pediatriques semantic scholar

scanner abdominal imagerie medicale

scanner abdominal imagerie medicale

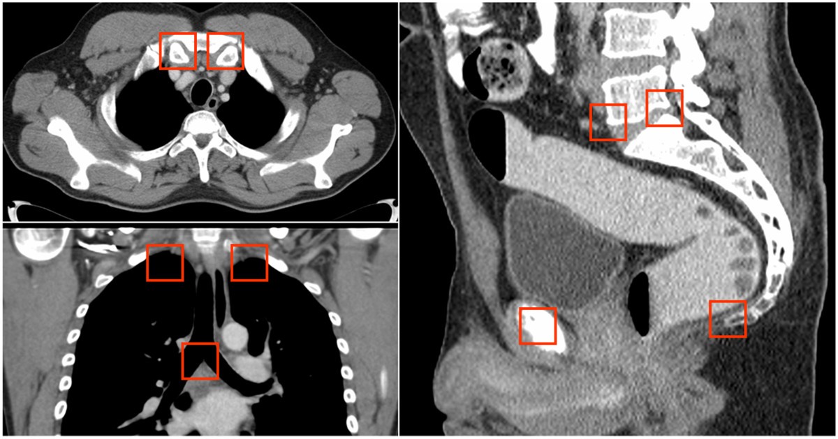
clinical evaluation of semi automatic landmark based lesion tracking software for ct scans cancer imaging full text

clinical evaluation of semi automatic landmark based lesion tracking software for ct scans cancer imaging full text

fct speedia hd fujifilm new zealand

fct speedia hd fujifilm new zealand

a normal thoraco abdominal ct scan showing linear air shadow around download scientific diagram

a normal thoraco abdominal ct scan showing linear air shadow around download scientific diagram

combined thoracoabdominal aortic repair and coronary artery bypass grafting in a patient with impaired left ventricular function the journal of thoracic and cardiovascular surgery

combined thoracoabdominal aortic repair and coronary artery bypass grafting in a patient with impaired left ventricular function the journal of thoracic and cardiovascular surgery

thoracoabdominal ct scan coronal a and saggital b cuts displaying download scientific diagram

thoracoabdominal ct scan coronal a and saggital b cuts displaying download scientific diagram

what is the role of ct scanning in the diagnostic and preoperative evaluation of aortic aneurysm aaa

what is the role of ct scanning in the diagnostic and preoperative evaluation of aortic aneurysm aaa

thoraco abdominal ct scan the axial a coronal b and sagittal download scientific diagram

thoraco abdominal ct scan the axial a coronal b and sagittal download scientific diagram

management of thoracoabdominal neuroblastoma a 13 year experience world journal of pediatric surgery

management of thoracoabdominal neuroblastoma a 13 year experience world journal of pediatric surgery

figure dangling sign seen on ct statpearls ncbi bookshelf

figure dangling sign seen on ct statpearls ncbi bookshelf

thoracic and thoracoabdominal aortic aneurysms thoracic key

thoracic and thoracoabdominal aortic aneurysms thoracic key

thoracoabdominal aneurysmectomy operative steps for crawford extent ii repair jtcvs techniques

thoracoabdominal aneurysmectomy operative steps for crawford extent ii repair jtcvs techniques

repair of type iv thoracoabdominal aneurysm with a combined endovascular and surgical approach journal of vascular surgery

repair of type iv thoracoabdominal aneurysm with a combined endovascular and surgical approach journal of vascular surgery

ct scans interpretation principles basics teachmeanatomy

ct scans interpretation principles basics teachmeanatomy

thoraco abdominal ct scan with oral gastrografin the axial a and download scientific diagram

thoraco abdominal ct scan with oral gastrografin the axial a and download scientific diagram

cureus abdominal pain caused by occlusion of the celiac trunk and superior mesenteric artery in addition to irritable bowel syndrome case series and literature review

cureus abdominal pain caused by occlusion of the celiac trunk and superior mesenteric artery in addition to irritable bowel syndrome case series and literature review

isolated splenic sarcoidosis reumatologia clinica

isolated splenic sarcoidosis reumatologia clinica

inflammatory abdominal aortic aneurysm thoracic key

inflammatory abdominal aortic aneurysm thoracic key

thoracoabdominal ct scan contrast enhanced ct scan axial views download scientific diagram

thoracoabdominal ct scan contrast enhanced ct scan axial views download scientific diagram

tout savoir sur le scanner abdominal

tout savoir sur le scanner abdominal

penetrating thoracoabdominal trauma with a cryptic diaphragmatic injury in a 23 year old male cureus

penetrating thoracoabdominal trauma with a cryptic diaphragmatic injury in a 23 year old male cureus

a case of cervical fasciitis complicated by mediastinitis and pre peritoneal abscess the role of video assisted thoracoscopic surgery springerlink

a case of cervical fasciitis complicated by mediastinitis and pre peritoneal abscess the role of video assisted thoracoscopic surgery springerlink

the influence of arm positions on abdominal image quality of whole body computed tomography in trauma systematic review springerlink

the influence of arm positions on abdominal image quality of whole body computed tomography in trauma systematic review springerlink

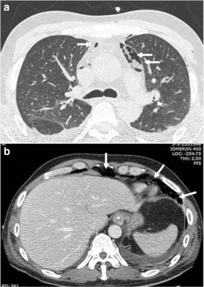
figure 2 from pancreaticopleural fistula semantic scholar

figure 2 from pancreaticopleural fistula semantic scholar

the initial assessment and evaluation of abdominal trauma

the initial assessment and evaluation of abdominal trauma

thoracoabdominal aneurysm in a professional body builder the american journal of medicine blog

thoracoabdominal aneurysm in a professional body builder the american journal of medicine blog

scanner thoracoabdominopelvien imagerie medicale

scanner thoracoabdominopelvien imagerie medicale

1

1

scanner en pathologie digestive quelle evolution technique ces dernieres annees quelles limites fmc hge

scanner en pathologie digestive quelle evolution technique ces dernieres annees quelles limites fmc hge

indian journal of anaesthesia ija view image

indian journal of anaesthesia ija view image

a mri scan of thoraco abdominal viscera sagittal view white download scientific diagram

a mri scan of thoraco abdominal viscera sagittal view white download scientific diagram

an exceptionally large sarcoma of the thoraco abdominal wall with ingrowth in the pericardium and stomach a case report maat current challenges in thoracic surgery

an exceptionally large sarcoma of the thoraco abdominal wall with ingrowth in the pericardium and stomach a case report maat current challenges in thoracic surgery

what is the role of ct in the workup of blunt abdominal trauma

what is the role of ct in the workup of blunt abdominal trauma

cureus nonoperative management of penetrating right thoracoabdominal injury

cureus nonoperative management of penetrating right thoracoabdominal injury

epos trade

epos trade

scanner en pathologie digestive quelle evolution technique ces dernieres annees quelles limites fmc hge

scanner en pathologie digestive quelle evolution technique ces dernieres annees quelles limites fmc hge

thoraco abdominal neuroblastoma resection the thoracophrenolaparotomic tpl approach springerlink

thoraco abdominal neuroblastoma resection the thoracophrenolaparotomic tpl approach springerlink

imaging of abdominal aortic aneurysms american family physician

imaging of abdominal aortic aneurysms american family physician

thoraco abdominal ct scan a shadow 90 mm in diameter can be seen download scientific diagram

thoraco abdominal ct scan a shadow 90 mm in diameter can be seen download scientific diagram